Tierarztpraxis Erbeldinger
Tierarztpraxis Erbeldinger

Tierzahnarzt: 

Unsere Tiere bekommen leider im Laufe ihrer Lebensjahre häufig Probleme mit ihren Zähnen. Dies betrifft die Hunde, die Katzen, die Pferde und auch leider unsere Heimtiere. 

Man weiß, daß etwa 80% aller Katzen an behandlungsbedürftigen Zahnerkrankungen leiden. Nicht selten sind diese auch äußerst schmerzhaft. Leider ziehen unsere Katzen sich meistens nur zurück und zeigen nur dezente Verhaltensänderungen, also kein offensichtlichen Schmerz. Das macht es den Haltern auch so schwierig dieses Leiden zu erkennen. 

Aber leider sehen wir auch sehr häufig ältere Hunde mit gravierenden Zahnproblemen, gerade die Hunde kleinerer Rasse sind hier sehr häufig betroffen. 

Wir bieten in unserer Praxis daher die Behandlung mit verschieden Therapiemodulen an:

Hierzu gehört:       

                  - die Zahnreinigung per Ultraschall

                  - die Extraktion von erkrankten Zähnen

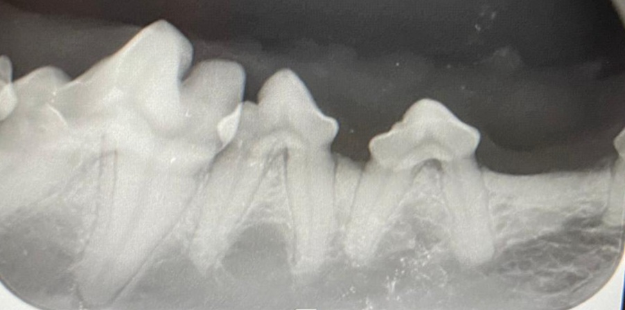
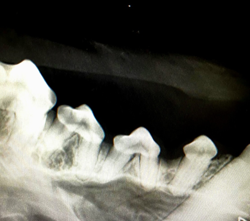
                  - das Dentalröntgen zur Abklärung dieser Patienten

 

Die Voraussetzung für eine gute Therapie dieser Tiere, ist eine gute und genaue Diagnostik. Hierfür kann man auf das intraorale Dentalröntgen nicht verzichten. Die meisten krankhaften Veränderungen befinden sich im äußerlich nicht sichtbaren Bereich der Zahnwurzel und des Zahnhalses und können nur durch bildgebende Verfahren sichtbar gemacht werden.

Voraussetzung aller hier aufgelisteter Zahnbehandlungen ist die Vollnarkose der Tiere. In der Regel sind dies sehr häufig sehr alte Tiere. Wir bemühen uns das vorhandene Risiko so gering wie möglich zu halten. Aber jeder Tag ohne Schmerz ist für unsere alten Tiere ein guter Tag. Das wollen wir erreichen und deshalb versuchen wir auch alle alten und auch herzkranken Patienten so gut wie möglich dental zu behandeln.

Kosten sind für viele Tierhalter ein Problem, sprechen Sie mit uns, wir machen Ihnen gerne eine Kostenschätzung. 

Viele Menschen scheuen sich zu uns zu kommen, weil ihr Tier schon ein vermeintlich zu hohes Alter für eine Vollnarkose hat, oder andere Tierärzte haben aufgrund des Alters schon eine Behandlung abgelehnt. Bitte reden Sie mit uns, ein Leben mit täglichen Schmerzen und Maulfäule ist nicht das was wir für Ihr Tier wollen. Lassen Sie sich beraten. Wir finden eine Lösung.

Sie haben einen Hund einer brachyzephalen Hunderasse und finden keinen passenden Tierarzt für die Narkose. Reden Sie mit uns, auch hier werden wir über die verschiedenen Therapiemöglichkeiten eine Lösung finden. 

Kontakt

Tierarztpraxis

Alexandra Erbeldinger

Großstr. 53

55627 Merxheim

 

Telefon

+49 6754 1864

 

E-Mail

tierarzt@schneider-bau.com

 

Nutzen Sie auch gerne unser Kontaktformular

Öffnungszeiten

sie erreichen uns telefonisch von Montag- Freitag zwischen 9.00 -18.00 Uhr und Samstag Notdienst von 10.30 - 14.00 Uhr

 

dies sind keine Angaben von Sprechstunden!

es ist nur nach telefonischer Anmeldung ein Tierarzt vor Ort!!!

um lange Wartezeiten und unnötigen Streß für ihren Liebling zu vermeiden, gibt es bei uns nur Termine nach Vereinbarung

 

Druckversion | Sitemap
© Tierarztpraxis